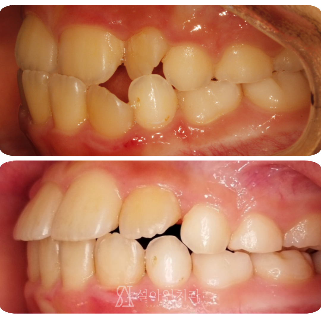
웃을 때 보이는 앞니 사이 검은 틈, 바이오클리어로 자연스럽게 개선한 사례
웃을 때 보이는 앞니 사이 검은 틈, 바이오클리어로 자연스럽게 개선한 사례
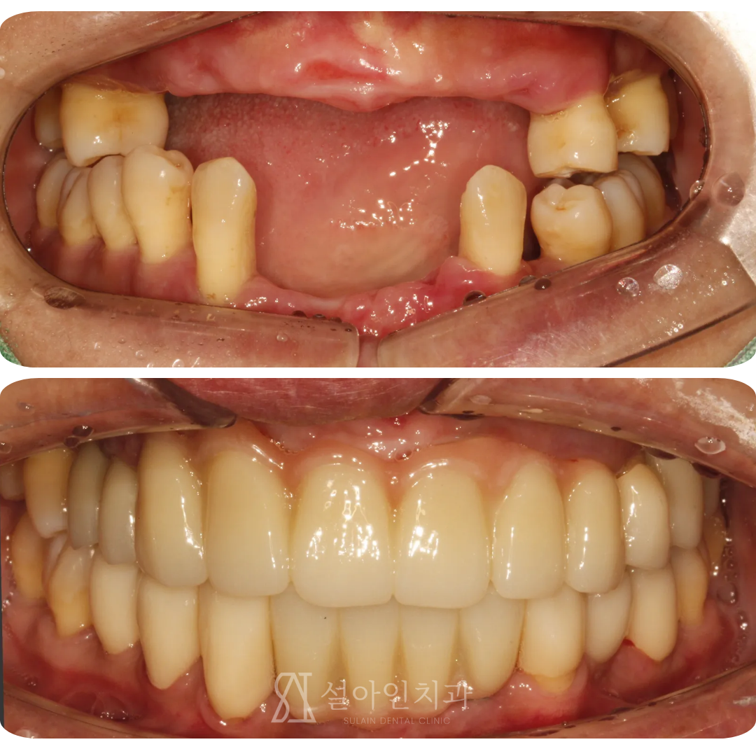
임플란트 수술 다음날, 바로 고정 치아로 식사했습니다. 상악 완전 무치악 환자의 올온엑스(All-on-X) 임플란트 치료 사례
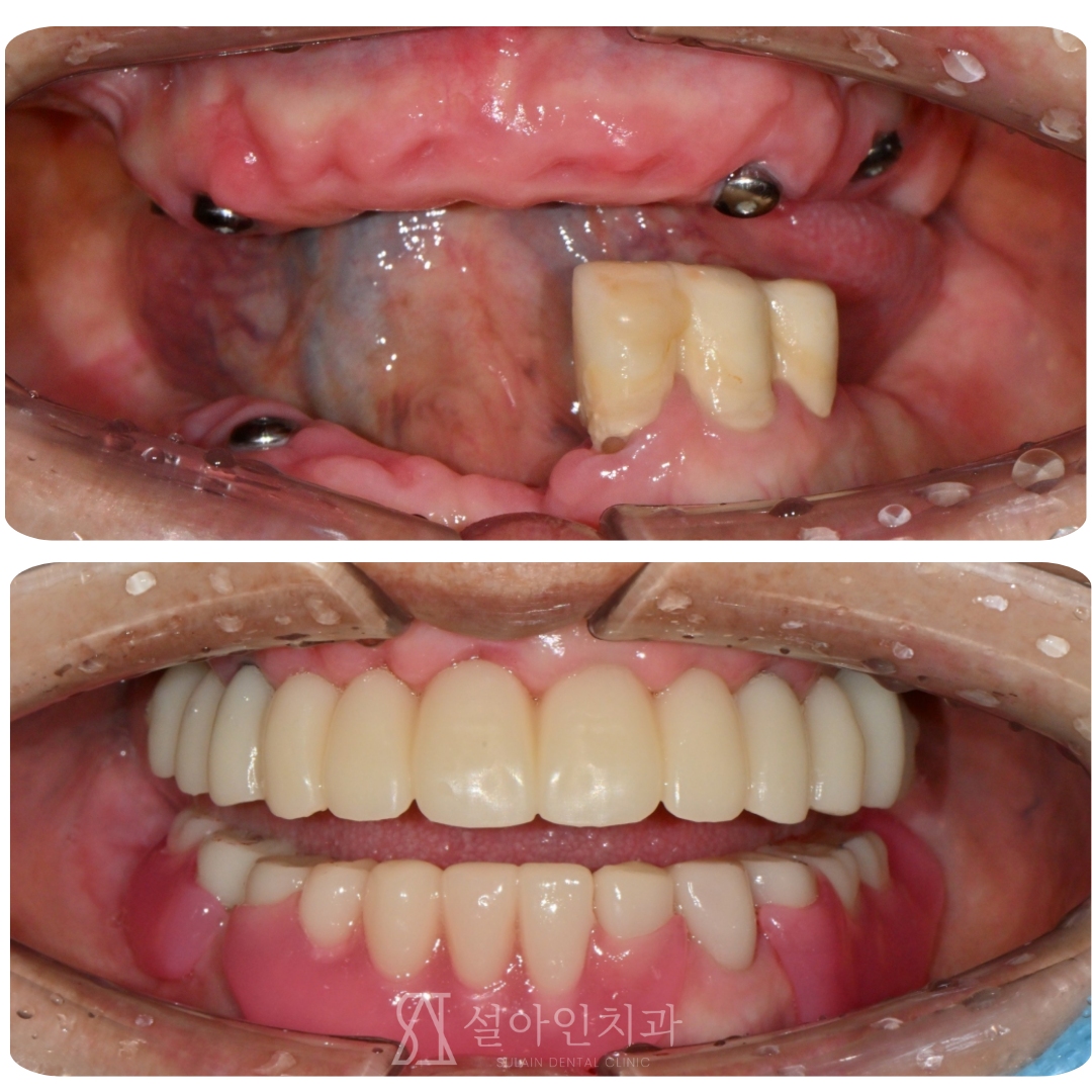
틀니의 불편함, 이제 참지 마세요 - 하이브리드 임플란트라는 해답
앞니 하얀 반점, 치아 안 깎고도 없앨 수 있을까? - 아이콘 레진 치료 (화이트 스팟 제거), 설아인치과 심미치료
무삭제 라미네이트로 되찾은 자신감 있는 미소
욱신거리는 사랑니, 잇몸은 왜 붓고 피가 날까요? (사랑니 부었을 때 대처법)
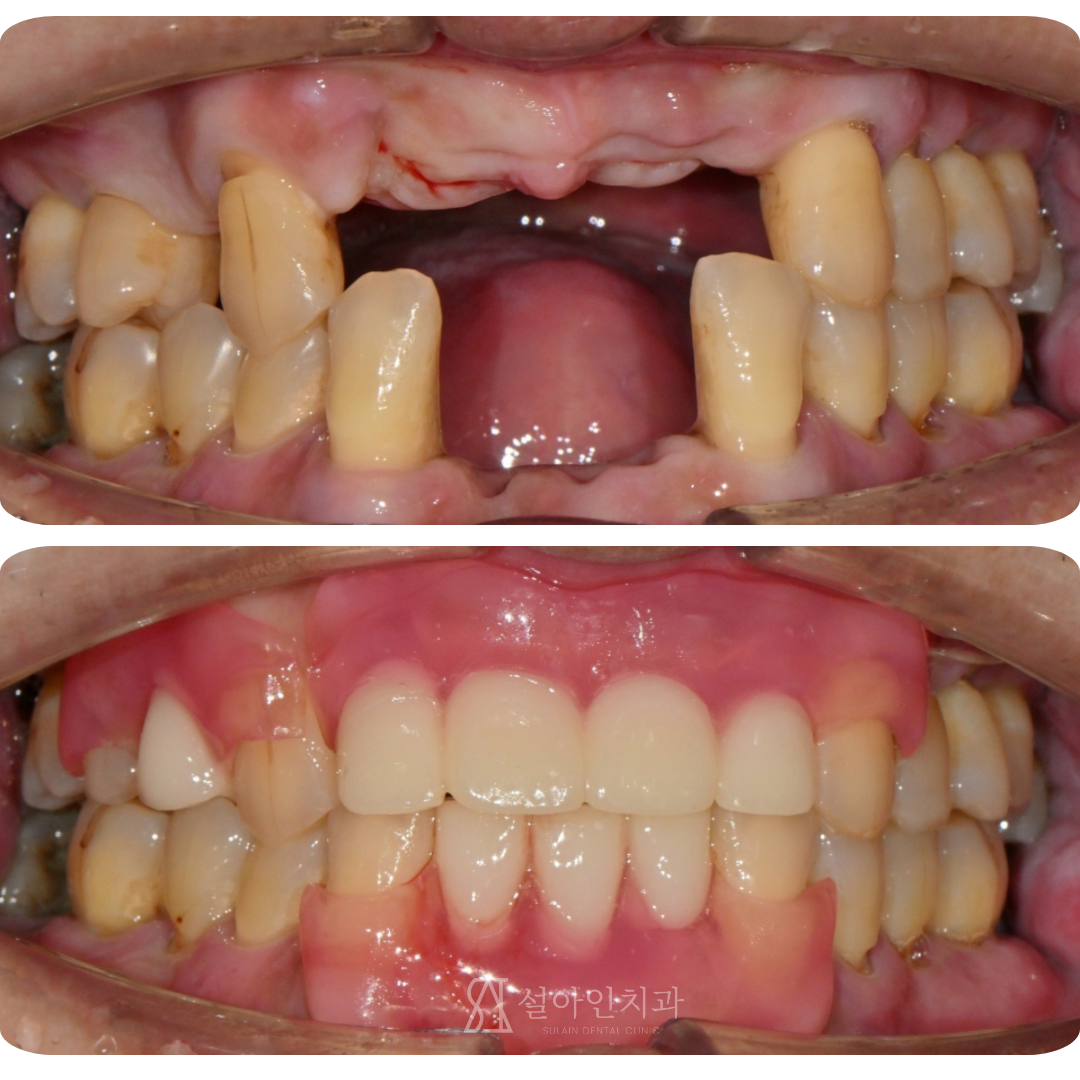
심하게 흔들리는 앞니, 발치 후 치아 없는 기간 없이 바로 해결하는 '3D 디지털 임시틀니'
치아가 벌어져서 보기 싫어요. 부분 라미네이트 사례
앞니 벌어짐, 투명 교정부터 미백까지 한 번에 해결한 사례
틀니가 자꾸 헐거워요? 올온엑스 임플란트 (하이브리드 임플란트) 사례
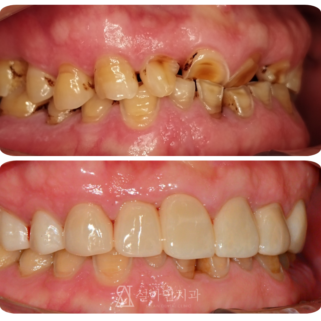
교모증으로 닳은 치아, 어떻게 회복할까?
왜소치, 무삭제 라미네이트로 자연스럽게 개선하는 방법
반대교합 어린이, 투명교정으로 아프지 않게 정상교합 만들기
앞니 임플란트, 심미성과 정밀함이 좌우합니다
무삭제 부분 라미네이트, 치아 손상없이 자연스럽게 해결하세요.
턱관절 통증, PDRN 주사로 치료하는 프롤로 주사요법
하루 만에 끝나는 세라믹 인레이 치료
돌출입 교정, 투명하게 해결하세요
가로로 누워 자란 사랑니, 난이도 높은 수술도 안전하게 뽑을 수 있습니다.